作者:日期:2023-11-23分类: 国内新闻
最近,一种名叫“泰国DC减肥药”的产品上了微博热搜,原因是上海市禁毒办通
近日,有媒体报道称8月15日,一名21岁男子因微信被封号影响做生意,多次申诉
此前南都报道广东湛江5岁男童被遗留校车后近9小时身亡案件再有新进展。8月
“新员工未喝领导敬酒被扇耳光”事件日前引发关注后,涉事单位厦门国际银行
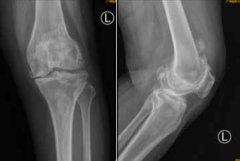
南都讯 记者李春花 通讯员 王慧 75岁的何阿姨,常年受到双膝关节疼痛的折磨,
南方网讯 9月4日,拱北海关与珠海市公安局联合举办新闻发布会,对外公布双方
南都记者从上海市第三中级人民法院(以下简称“上海三中院”)获悉,9月2日
南都讯 记者徐全盛 通讯员焦雪珂 赵祯 一场不存在的交通事故,修车厂周到的
投身公益从来是职业足球俱乐部的社会责任之一,尽管很多中国俱乐部还没有充
近日,王女士(化名)向南都“记者帮”反映,其在58同城 “到家精选”选购上
欢迎使用手机扫描访问本站